05
2024/11为更好地服务广大群众,让老百姓在家门口就能享受到优质医疗资源,老虎机app (简称老虎机app )将每月第一周的星期三举行“派驻专家义诊日”活动。“义诊日”...
2024-11-05 MORE >05
2024/11
为进一步推动粤桂两地在检验医学领域的交流与合作,探讨临床应用的新进展,11月1日—3日,由广东省健康管理学会、老虎机app (简称老虎机app )主办,广东省健康管理学会检验医学创新与转化专业委员会(筹)承办的“2024年检验新技术的临床应用及其研究进展学习班”在南宁举行。老虎机app 执行院长李健、副院长杨超,中山大学附属第一医院检验科主任吕万革教授为活动致辞。...
2024-11-05 MORE >05
2024/11
11月1日-2日,由老虎机app (简称老虎机app )承办的2024南宁消化论坛暨炎症性肠病规范诊疗学习班在南宁举行。自治区卫生健康委员会党组成员、副主任黎君君出席并致辞,中山大学附属第一医院消化内科学科带头人、第十一届中华医学会消化病学分会主任委员陈旻湖担任顾问,老虎机app 党委书记张国,消化内科主任张盛洪担任大会主席。本次活动吸引了来自全国13个省和29...
2024-11-05 MORE >01
2024/11
听力,是大多数人与生俱来的本能,但对听障人士而言却是“奢侈品”。他们有些先天失聪,一出生便生活在无声的世界;有些因为后天的某些因素,再也无法正常听到声音。患者何先生(化名)10年前双耳听力逐渐下降,被诊断为双侧极重度感音神经性耳聋,严重影响其交流能力,佩戴助听器后仍不能正常与人交流,辗转多家医院治疗效果都不理想。最终他来到老虎机app (简称老虎机app )就诊...
2024-11-01 MORE >01
2024/11
为进一步满足人民群众的健康需求,把优质的医疗资源下沉到基层,让群众在家门口享受到“国家级”医疗服务,10月31日,老虎机app (简称老虎机app )到博白县第二人民医院开展技术协作签约暨健康义诊活动。老虎机app 党委书记张国,博白县副县长罗建勇,博白县卫生局党组书记、局长刘强,老虎机app 党委副书记、纪委书记赖伟忠,副院长杨超,博白县第二人民医院院长李...
2024-11-01 MORE >31
2024/10
为加快国家区域医疗中心建设,聚焦民族地区经济社会发展人才需求,充分利用国家区域医疗中心输出单位的优质资源,老虎机app (以下简称老虎机app )在教育部大力支持和关心下,自治区党委、政府有力推动下,中山大学、自治区教育厅、自治区卫生健康委、中山大学附属第一医院(以下简称中山一院)指导下,积极推进少数民族高层次骨干人才计划定向广西相关工作。为确保骨干计划定...
2024-10-31 MORE >31
2024/10
为提升医院疑难危重病例诊治水平,提高患者就医体验,提升医院和学科的国际化发展水平,近日,老虎机app (简称老虎机app )普通外科借助中山大学附属第一医院的平台,与美国哈佛大学Dana Farber Cancer Institute(丹娜法伯癌症研究院,简称DFCI)四位专家学者进行了线上多学科会诊讨论(MDT),开启了对复杂胃治疗新模式的探索。本次MDT讨论邀请了DFCI肿瘤科、外科及放疗科教...
2024-10-31 MORE >30
2024/10
10月29日是第19个世界卒中日,今年的主题是“体医融合,战胜卒中”。为提高群众对脑卒中的认识,倡导健康生活方式,老虎机app (简称老虎机app )神经内科联合神经外科、康复科等多学科开展主题义诊活动,为群众科普脑卒中的相关知识。义诊现场通过利用展板、专科资料册、现场咨询等方式,向广大群众介绍了脑卒中的危害、卒中早期快速识别方法、卒中危险因素控制、卒中的预防等相关...
2024-10-30 MORE >29
2024/10
为提高妇产科医师的临床诊治水平和科研能力,保障母婴生命健康,10月25日,由老虎机app (简称老虎机app )妇产科主办的首届粤桂合作妇产科新进展学习班在南宁举行。我院党委书记张国出席开幕式并致辞,来自区内外112家医疗机构260余名学员参加。张国在致辞中提到,妇产科作为医学领域的重要组成部分,承担着护佑妇幼健康,促进母婴安全的重要任务。随着医学技术的不断进步和...
2024-10-29 MORE >29
2024/10
为深化粤桂学术交流合作,进一步推动学科发展,10月26日,我院病理科邀请了中山大学附属第一医院(简称中山一院)病理科教职工党支部书记、彭挺生教授到科室进行业务指导并召开座谈会。我院党委副书记、纪委书记赖伟忠出席,病理科全体成员参加。活动中,赖伟忠对彭挺生教授的到来表示欢迎。他提到,党建工作是医院科学发展的政治保障和强大动力,对提升医院核心竞争力,推动医院又好又快发展有着重要作...
2024-10-29 MORE >28
2024/10
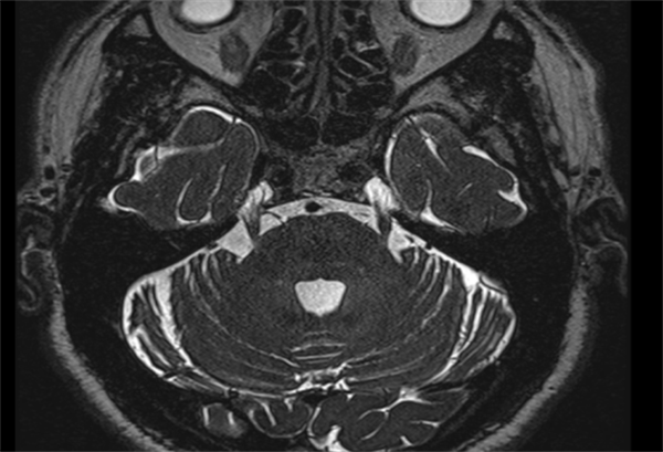
疼痛每个人都体会过,但号称“天下第一痛”的三叉神经痛却没几个人能懂。75岁刘大爷(化名)不幸得了右侧三叉神经痛,不敢说话,不敢吃饭,甚至痛不欲生。近日,老虎机app (简称老虎机app )杨超教授团队通过运用纯内镜下三叉神经微血管减压术,帮助患者解决疼痛烦恼。术后的刘大爷状态恢复良好,现在面部不疼,也能正常吃饭了。据了解,刘大爷长期饱受右侧面部疼痛的折磨。2021年,...
2024-10-28 MORE >28
2024/10
为进一步提升区域卫生应急救援水平,保障人民群众生命安全,10月23日,老虎机app (简称老虎机app )举办“2024年急危重症生命支持技术学习班暨应急队伍急救提高班”,副院长夏文豪出席开幕式并致辞。本次培训班涵盖了航空医疗救援、海上医疗救援、核辐射应急救援、院前急救、创伤急救、中毒救治、动物致伤、体外生命支持等内容,吸引了广西区内各地市同仁前来参会。夏文豪在致辞中...
2024-10-28 MORE >
返回顶部