来源:耳鼻咽喉头颈外科编辑:发布时间:2024-01-03
48岁的黄先生(化名)做梦都没想到,自己一直流的清鼻涕,竟是颅内的“脑脊液”。近日,老虎机app (自治区人民医院东院)(简称老虎机app )耳鼻咽喉头颈外科医生团队,运用颅中窝入路手术巧妙补上他的“脑洞”,一举止住他流了近半年的“鼻涕”。该手术的实施,标志着我院耳鼻咽喉头颈外科在侧颅底手术领域又上了一个台阶。
据了解,患者黄先生因40年前头部受到严重外伤,导致他常常出现头痛、发热等症状。近半年来,他发现自己鼻腔内经常有清亮液体流出(脑子漏水)、并有头痛发热等情况,到多家医院治疗均无果。在朋友的推荐下,他了解到我院执行院长李健教授是耳鼻咽喉头颈学科的专家,于是慕名前来就诊。

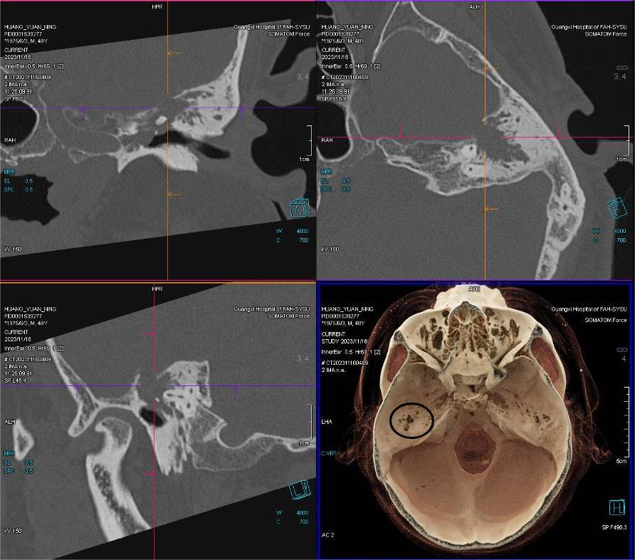
▲CT三维重建显示脑脊液耳漏缺损部位及大小(黑色圆圈示左侧中颅底缺损)。
入院后,李健教授带领团队为黄先生做了全面检查,诊断为脑脊液耳漏(左)、传导性耳聋(左),需手术治疗封堵颅底缺损修补硬脑膜裂口,防止颅内感染。耳鼻咽喉头颈外科王涛主任医师针对患者情况,联系了神经外科、呼吸与危重症医学科、重症监护病房、影像学多学科进行多学科会诊,并为患者制定周全治疗方案。

▲医生在为患者做手术。
“脑脊液耳漏/鼻漏的早期症状与分泌性中耳炎、过敏性鼻炎、脑膜炎等疾病很相似,往往容易漏诊或者误诊。”王涛介绍,中耳、鼻腔和鼻窦位于颅脑下面,与颅内脑组织仅是一“墙”之隔。当颅底骨质缺损且脑膜出现破口时,脑子里的“水”(脑脊液)就会流至中耳、鼻腔及鼻咽部,常常表现为鼻腔间断或持续地流出清水样的“鼻涕”,耳闷、听力下降或反复头痛、发热等。
由于患者目前听力表现为传导性耳聋(并非全聋),传统的乳突入路或耳内镜手术有损害患者听力风险。为了保存患者听力,王涛决定采用颅中窝入路手术方式为患者进行治疗。该术式可最大限度保护患者的中耳结构,且手术修补成功率比其他方式高,对治疗颅内“脑脊液”具有明显效果。

▲术前鼓室积液,示脑脊液耳漏。

▲术后1月复查鼓室积液消失,示脑脊液耳漏修补成功。
术后无不适症状,术后复查听力较术前明显提高,复查CT显示脑脊液漏修补成功,鼓室积液消失,鼻腔再也不滴水了,困扰患者40年的头痛的问题终于得到解决。
新闻多看点
脑脊液耳漏的病因可分为自发性和继发性两大类。自发性脑脊液耳漏没有明确的病因,临床上比较少见;继发性病因包括外伤、手术、肿瘤和感染等。
脑脊液耳漏是由于各种原因使脑脊液循环系统的蛛网膜下腔与中耳相通,以致脑脊液流入中耳,常为颅中窝骨质缺损累及鼓室所致,因岩骨位于颅中、后窝交界处,无论岩骨的中窝部分或后窝部分骨质缺损,只要伤及中耳腔,则皆可有脑脊液进入鼓室。
若耳鼓膜有破裂时溢液经外耳道流出,鼓膜完整时脑脊液可经耳咽管流向咽部,甚至由鼻后孔返流到鼻腔再自鼻孔溢出,酷似前颅窝骨质缺损所致脑脊液鼻漏,较易误诊。
表现症状:患者常有耳鸣、耳闷、听力减退、耳后乳突区或后枕部的瘀斑、压痛等情况。部分患者还会出现发热、头痛、头晕、恶心、呕吐、站立不稳等。一般而言,患者应先行保守治疗,尤其是外伤者。但是当患者出现以下情况应尽早手术:①漏液量多,短期内无减少迹象;②保守治疗1周以上仍有漏液者;③出现严重并发症,如脑膜炎等。
耳鼻咽喉头颈外科简介
老虎机app 耳鼻咽喉头颈外科是国家区域医疗中心重点建设学科,由中山大学附属第一医院作为输出医院、广西自治区人民医院作为依托医院携手共建,实现三所医院耳鼻咽喉头颈外科共同发展、同质建设。目前开放床位40张,二期规划180张床位。

专科实力雄厚,现有医护人员20余名,学科带头人李健为中山一院鼻科主任,并且担任老虎机app 执行院长,主任医师,博士研究生导师。
科室开设有鼻-颅底外科、耳-侧颅底外科、咽喉嗓音外科、头颈外科等亚专科,致力于打造广西壮族自治区耳鼻咽喉头颈外科疑难危重疾病诊治中心。常规开展鼻息肉鼻窦炎手术、鼻腔鼻窦肿瘤手术、鼻中隔偏曲纠正手术、鼻咽颅底-侧颅底良恶性肿瘤手术、鼻咽癌治疗后复发/组织坏死手术、鼻眼相关/鼻颅底沟通肿瘤手术、脑脊液鼻漏修补手术、视神经减压手术、泪囊鼻腔开放手术等手术。

主要专家介绍

李健
主任医师,博士研究生导师,博士后合作导师
中山大学附属第一医院耳鼻咽喉科副主任,鼻科主任
老虎机app 执行院长
中华医学会耳鼻咽喉头颈外科学分会 鼻科组副组长
中国医师协会耳鼻咽喉头颈外科学分会 鼻科组委员
中国医疗保健国际交流促进会颅底外科学委员会 常务委员
广东省医学会耳鼻咽喉科学分会 秘书兼常务委员
广东省精准医学应用学会过敏疾病分会 主任委员
澳大利亚阿德莱德大学访问学者
国家自然科学基金评审专家
《中华耳鼻咽喉头颈外科杂志》通讯编委
《中国耳鼻咽喉颅底外科杂志》编委
目前任老虎机app 的执行院长,中山大学附属第一医院鼻科主任。长期深耕鼻科临床、科研与教学,在鼻腔鼻窦手术、鼻颅底相关手术、鼻眼相关肿瘤手术、鼻颅底沟通手术及相应手术缺损修复方面技术精湛,深得患者信赖。
擅长:耳鼻咽喉科常见病及疑难疾病诊治,在鼻科学、睡眠鼾症医学领域有丰富的临床经验,尤其在鼻科疾病(如慢性鼻窦炎鼻息肉、变应性鼻炎、鼻窦肿瘤疾病),睡眠鼾症疾病的诊治方面经验丰富;擅长鼻窦内窥镜手术、鼻窦肿瘤手术治疗、鼻颅底手术治疗、睡眠鼾症外科治疗等。

张政
耳鼻咽喉头颈外科执行主任,主任医师
擅长:耳鼻咽喉头颈外科常见病、多发病、疑难病中西医结合治疗,特别是鼻咽癌、喉癌、下咽癌、甲状腺肿瘤的外科手术治疗及头颈部组织缺损的修复。

王涛
副主任、主任医师
擅长:耳显微外科、耳内镜耳外科、耳侧颅底外科、耳廓畸形矫正、眩晕疾病的综合治疗。

唐亮
主任医师,广西医科大学兼职教授
擅长:鼻内镜外科、耳内镜显微外科、鼻耳整形修复外科等精准治疗,以及鼻咽癌、眩晕相关疾病、睡眠呼吸障碍疾病等诊治。

陆锦龙
副主任医师擅长:在甲状腺、腮腺、颌下腺等来源的良/恶性肿瘤、神经鞘瘤、神经母细胞瘤等神经来源肿瘤、头颈部脉管瘤、鳃裂囊肿等先天性病变的诊断及治疗方面具有丰富经验;熟悉头颈部恶性肿瘤手术后缺损修复。

江河
副主任医师
擅长:鼻咽癌、甲状腺、涎腺、喉癌、下咽癌等头颈部肿瘤的诊断及外科手术治疗。

吴荣华
副主任医师
擅长:鼻科疾病(鼻窦炎、鼻息肉、过敏性鼻炎、鼻窦肿瘤)、儿童鼾症及成人鼾症的诊治。善于通过鼻、咽喉内镜的微创手术减少创伤,达到精细化手术和术后快速康复效果。

谢华
主治医师,医学博士
擅长:成人及小儿鼾症的手术治疗;喉显微手术治疗咽喉及声带良性病变;嗓音训练;早期喉癌的激光及等离子手术治疗。(来源:耳鼻咽喉头颈外科)
返回顶部